February.. no longer just a page on the calendar!

Are you kidding me, It's been almost a year since my heart attack? What a crazy and wild ride I find myself on to this day. Never in a million years would I have thought that I would become part of a group known as heart attack survivors. I was a healthy, 40-year-old mom with no cardiovascular risk factors going about my daily tasks. Flipping the calendar from month to month and not realizing that February will now be the most important month of my life!  Why do you ask? Because this happened....

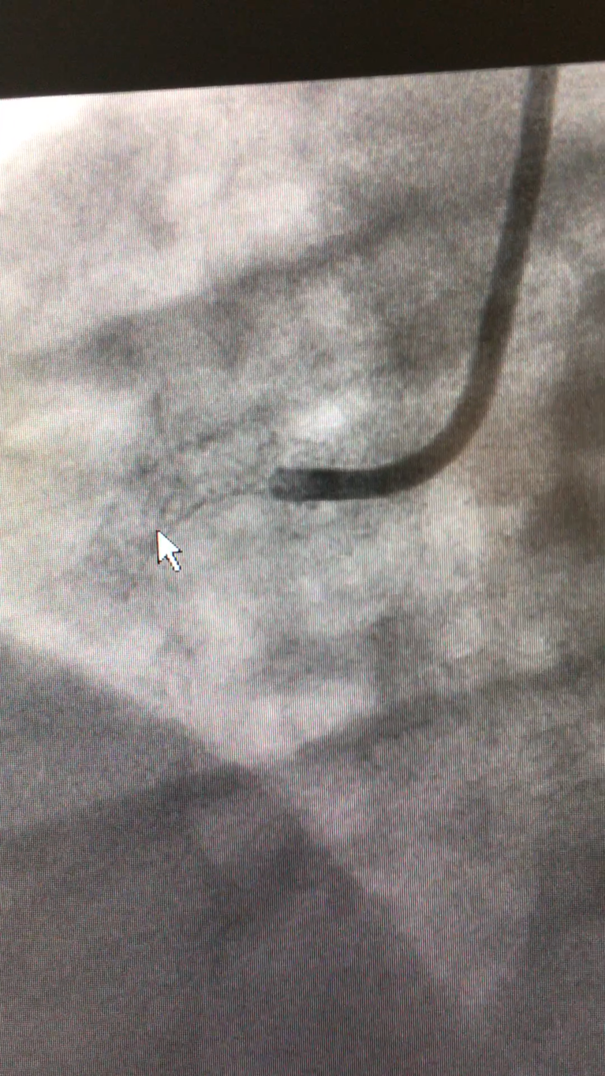
My Cath lab film showing 100% blockage of my right coronary artery

My Cath lab film showing 100% blockage of my right coronary artery

February is not only the month of my heart attack but coincidentally is also known as  Heart Month! Feb 3rd is National Wear Red Day, Cardiovascular Heart Disease Week is Feb 7-14, Heart Failure Awareness Week is Feb 12-18th, and Heart Valve Awareness Day is Feb. 22nd. If you're going to have a heart attack why not have it in February? One thing you'll find when reading my blogs is humor is a big part of my personal healing journey! 

This blog is very important to me because heart health doesn't just matter to me but it matters to all of us! Maybe you haven't been affected by heart disease in your family or maybe you know too many people to count.  Where ever you fall at on this spectrum it's very important that you and your loved ones know the signs and what steps to take to minimize your risks. Up until 2-10-16 I thought I was the pillar of health .. well was I proven wrong with the sensation of chest and jaw pain. 

Heart Health not just affects you but your family and friends. Although our heart is ours it's interconnected between family, loved ones, and friends.  Take a personal assessment of your health. Ask yourself do you have high cholesterol? High blood pressure? Family history of heart disease? Smoke?  If you find yourself answering yes to these questions.. go talk to your doctor. Start your new path to a healthy heart this February and don't look back. We owe this to our loved ones.  

Below is a picture of my angiogram when they fixed my right coronary artery with the placement of stents.. this is why February is so important. February brought about the research and medical developments to open my artery and save my life!!

The white arrow points to the stent placed in my artery. This will allow my artery to stay open and bring blood to my heart.

The white arrow points to the stent placed in my artery. This will allow my artery to stay open and bring blood to my heart.

The finished product, blood flow restored to my heart!! Noticed the increased blood pathways from this photo to the first photo.

The finished product, blood flow restored to my heart!! Noticed the increased blood pathways from this photo to the first photo.

 

During February, take in all the news, stories and information about Heart Health. Wear the color RED on February 3rd and stand united that we can change heart health and move cardiovascular disease out of the #1 spot for mortality. 

Get involved with  My Research legacy if you are currently between 21 and 49 years of age, of any race or ethnicity or gender, who reside in the United States, and who have been diagnosed with a heart attack, stroke, atrial fibrillation, aortic dissection or systolic heart failure/cardiomyopathy. Click on this link to see if you're eligible. https://www.myresearchlegacy.org/home